경추 추간판 탈출증은 다양한 유형의 통증을 유발하거나 전혀 증상을 일으키지 않을 수 있습니다. 통증은 목, 팔 및/또는 손의 통증부터 동일한 부위로 방사되는 전기 같은 통증까지 다양할 수 있습니다. 때로는 팔이나 손의 무감각이나 쇠약이 나타날 수도 있습니다. 경추 추간판 탈출증은 일종의 외상이나 목 부상으로 인해 발생할 수 있지만 증상은 일반적으로 자발적으로 시작됩니다.

경추 추간판 탈출증 및 관련 징후는 일반적으로 한쪽 팔이나 다른 쪽 팔에서 느껴집니다. 증상은 어떤 디스크가 탈출되었는지, 어느 신경근이 눌리거나 염증이 생겼는지에 따라 달라질 수 있습니다. 드물지만 척수가 영향을 받은 경우 통증, 따끔거림, 무감각 및/또는 쇠약이 양쪽 팔이나 몸의 아래쪽으로 전달될 수 있습니다. 장 및/또는 방광 조절 능력 상실도 드물지만 결과가 발생할 수 있습니다.
경추 추간판 탈출증의 일반적인 징후와 증상은 다음과 같습니다.
목 통증: 이 통증은 일반적으로 목의 뒤쪽이나 옆쪽으로 느껴집니다. 만졌을 때 압통이 느껴지는 가벼운 통증부터 날카롭거나 타는 듯한 통증까지 다양합니다.
방사 통증: 이 통증은 목의 신경이 눌려서 어깨, 팔, 손 및/또는 손가락을 통해 아래로 퍼져 나갈 수 있습니다. 때로는 뜨거워지거나 감전된 듯한 느낌이 들 수도 있습니다.
경추 신경근병증: 신경이 눌리거나 신경 뿌리에 염증이 생기면 무감각 및/또는 쇠약이 어깨, 팔, 손 및/또는 손가락으로 퍼질 수도 있습니다. 어떤 경우에는 신경근병증과 함께 신경근 통증이 동반될 수도 있습니다.
특정 머리 위치나 활동으로 인해 증상이 악화됩니다. 추간판 탈출증의 통증은 운동을 하거나 무거운 물건을 들어올리는 등의 활동 중에 악화되는 경향이 있습니다. 한쪽으로 비틀거나 머리를 앞으로 기울이는 등 특정 머리 위치도 통증을 악화시킬 수 있습니다.
목이 뻣뻣함. 경추 추간판 탈출증으로 인한 통증과 염증은 특정 목 움직임을 제한하고 운동 범위를 감소시킬 수 있습니다.
특정 통증 패턴과 신경학적 결손은 주로 추간판 탈출 위치에 따라 결정됩니다.
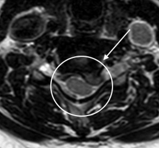
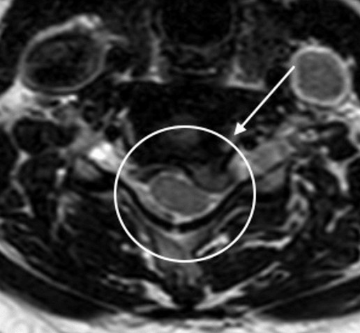
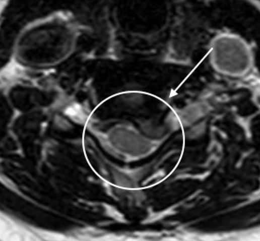
경추에는 C1부터 C7까지 표시되어 있는 7개의 척추뼈가 서로 쌓여 있습니다. 추간판은 인접한 척추체 사이에 위치합니다. 예를 들어, C5-C6 디스크는 C5와 C6 척추 사이에 위치합니다. C5-C6 디스크가 탈출되면 C6 신경근을 압박할 수 있습니다. 경추 추간판 탈출증으로 인한 징후와 증상은 어느 신경근이 압박되는지에 따라 달라질 수 있습니다.
C4-C5(C5 신경 뿌리): 통증, 따끔거림 및/또는 무감각이 어깨로 퍼질 수 있습니다. 어깨(삼각근) 및 기타 근육에서도 쇠약이 느껴질 수 있습니다.
C5-C6(C6 신경근): 손의 엄지손가락 부분에 통증, 따끔거림 및/또는 무감각이 느껴질 수 있습니다. 이두근(팔뚝 앞쪽에 있는 근육)과 팔뚝에 있는 손목 신근 근육에서도 쇠약이 나타날 수 있습니다. C5-C6 디스크는 가장 흔한 탈출증 중 하나입니다. 1
C6-C7(C7 신경근): 통증, 따끔거림 및/또는 무감각이 손과 중지로 퍼질 수 있습니다. 삼두근(팔 위쪽 뒤쪽의 근육), 손가락 신근 및 기타 근육에서도 쇠약이 느껴질 수 있습니다. C6-C7 디스크는 일반적으로 경추에서 탈출 가능성이 가장 높은 것으로 간주됩니다. 1
C7-T1(C8 신경 뿌리): 통증, 따끔거림 및/또는 무감각이 팔뚝 바깥쪽과 손의 새끼손가락 부분에서 느껴질 수 있습니다. 손가락 굴근(손잡이) 및 기타 근육의 약화도 경험할 수 있습니다.
이는 경추 추간판 탈출증과 관련된 전형적인 통증 패턴이지만 절대적이지는 않습니다. 어떤 사람들은 다른 사람들과 다르게 배선되어 있기 때문에 팔 통증과 기타 증상이 다를 수 있습니다.
경추 추간판 탈출증으로 인해 척수가 압박되거나 염증이 생기면 다음과 같은 징후와 증상이 나타날 수 있습니다.
양쪽 팔 및/또는 양쪽 다리의 통증, 따끔거림, 무감각 및/또는 쇠약
협응이나 걷기에 문제가 있음
방광 및/또는 장 조절의 어려움
이러한 징후나 증상은 즉각적인 치료가 필요합니다.
'의학정보' 카테고리의 다른 글
| 하지 방사통의 치료 방법 (0) | 2023.12.03 |
|---|---|
| 슈어만병 (청소년 척추 후만증) Scheuermann's disease (0) | 2023.12.01 |
| 경추 일자목: 해부학, 증상 및 원인, (0) | 2023.11.26 |
| 경추 후종인대골화증의 증상, 위험요인 및 치료 (0) | 2023.11.26 |
| 목 통증 환자에서의 경추 디스크의 이해 및 치료 (0) | 2023.11.24 |