소개
만성적인 목 뒤쪽 통증을 경험하는 많은 사람들의 경우 근본 원인이 항상 명확하지 않을 수 있습니다. 덜 일반적으로 알려져 있지만 잠재적인 원인 중 하나는 후방 종인대의 골화 (Ossification of posterior longitudinal ligament, OPLL)입니다. 척추를 따라 이어지는 인대의 비정상적인 석회화 또는 뼈 성장을 특징으로 하는 이 상태는 상당한 불편함과 이동성 감소를 초래할 수 있습니다. 지속적인 목 통증으로 어려움을 겪고 있다면 OPLL을 이해하는 것이 효과적인 관리 및 완화를 향한 첫 번째 단계가 될 수 있습니다.

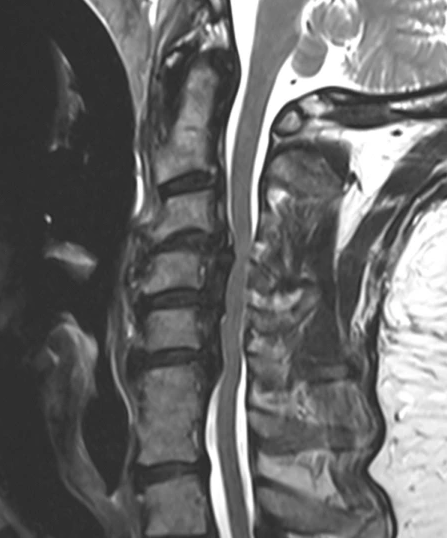
경추 OPLL이란 무엇입니까?
OPLL은 척추관을 따라 이어지는 후방 종인대가 두꺼워지고 골화되는 질환입니다. 이러한 골화 과정은 경추(목) 부위의 척수와 신경 뿌리를 압박하여 통증, 뻣뻣함, 신경학적 문제를 비롯한 다양한 증상을 유발할 수 있습니다.
주의해야 할 증상
OPLL의 증상은 다양할 수 있지만 다음과 같은 경우가 많습니다.
지속적인 목 통증, 특히 목 뒤쪽의 통증
목이 뻣뻣해지고 운동 범위가 감소함
팔, 손 또는 손가락의 무감각, 따끔거림 또는 쇠약
심한 경우 균형이나 조정이 어려움
OPLL의 원인 및 위험 요인
OPLL의 정확한 원인은 완전히 이해되지 않았지만 다음과 같은 몇 가지 요인이 영향을 미치는 것으로 생각됩니다.
유전적 소인: 이 질환은 특정 집단에서 더 널리 퍼지고 가족력이 있을 수 있으므로 주목할만한 유전적 요소가 있습니다.
연령 관련 변화: OPLL은 중년 및 노년층에서 흔히 볼 수 있으며, 이는 연령 관련 퇴행이 중요한 역할을 한다는 것을 시사합니다.
생활 방식 요인: 앉아서 생활하는 생활 방식이나 나쁜 자세와 같은 특정 생활 방식 요인이 상태를 악화시킬 수 있습니다.
OPLL 진단
OPLL을 진단하기 위해 의료 서비스 제공자는 일반적으로 철저한 신체 검사와 증상 검토부터 시작합니다. X선, MRI, CT 스캔과 같은 영상 검사는 인대 골화의 존재를 확인하고 척추관과 신경에 미치는 영향을 평가하는 데 중요합니다.
OPLL에 대한 치료 옵션
OPLL을 효과적으로 관리하려면 다각적인 접근 방식이 필요한 경우가 많습니다.
비수술적 치료
많은 경우 비수술적 치료법으로 증상을 효과적으로 관리할 수 있습니다.
물리 치료: 맞춤형 운동은 목의 이동성을 유지하고 불편함을 줄이는 데 도움이 될 수 있습니다.
통증 관리: 일반의약품이나 처방약을 사용하여 통증과 염증을 관리할 수 있습니다.
생활 방식 조정: 자세 개선, 활동 수정 및 인체 공학적 개입은 모두 증상 완화에 도움이 될 수 있습니다.
수술적 치료
비수술적 방법이 효과적이지 않거나 OPLL이 심각한 척수 압박으로 이어지는 경우 수술이 필요할 수 있습니다. 수술 옵션에는 인대의 골화된 부분을 제거하거나 척수와 신경을 감압하는 것이 포함되는 경우가 많습니다.
OPLL과 함께 생활하기
OPLL과 함께 생활한다는 것은 치료, 생활 방식 조정 및 정기적인 의료 관리의 올바른 균형을 찾는 것을 의미합니다. 활동적인 상태를 유지하고, 건강한 체중을 유지하고, 목의 부담을 줄이기 위해 인체공학적으로 조정하는 것이 중요합니다. OPLL의 진행을 모니터링하고 치료 계획을 필요한 대로 조정하려면 담당 의료 서비스 제공자와 정기적인 상담이 중요합니다.
결론
만성 목 뒤쪽 통증의 근본 원인일 수 있는 경추 OPLL은 삶의 질에 큰 영향을 미칠 수 있습니다. 그러나 상태에 대한 포괄적인 이해, 적절한 의료 및 생활 방식 수정을 통해 OPLL 증상을 관리하는 것이 가능합니다. OPLL에 대한 각 개인의 여정은 독특하며 의료 전문가와 긴밀히 협력하여 치료 계획을 맞춤화하는 것이 이 상태를 효과적으로 관리하는 데 중요하다는 점을 기억하십시오.
'의학정보' 카테고리의 다른 글
| 경추 추간판 탈출증 (경추 디스크)의 증상 (0) | 2023.11.29 |
|---|---|
| 경추 일자목: 해부학, 증상 및 원인, (0) | 2023.11.26 |
| 목 통증 환자에서의 경추 디스크의 이해 및 치료 (0) | 2023.11.24 |
| 요추 척추관 협착증의 내시경적 치료: 단일공 내시경 (Uniportal endoscopy) (0) | 2023.11.21 |
| 경추 척수증: 증상, 원인, 진단 및 치료 (0) | 2023.11.20 |