
서론
허리 디스크라 불리는 요추 추간판 탈출증은 전 세계 수많은 사람에게 영향을 주는 질환으로, 종종 심각한 통증, 장애 및 삶의 질 저하로 이어집니다. 허리 디스크 진단을 받은 환자 또는 허리 디스크가 있을 수 있다고 의심되는 사람으로서 수많은 질문과 우려가 발생할 수 있습니다. 이 글에서는 환자들이 자주 묻는 질문을 바탕으로 요추 추간판 탈출증 환자가 가장 궁금해하는 다섯 가지 사항을 정리해보겠습니다.
본론
1. 요추 추간판 탈출증이란 정확히 무엇입니까?
허리 디스크를 이해하기 위해서는 허리 디스크의 구조물을 이해해야 합니다. 허리 디스크는 척추 및 신체를 지지하고 운동을 가능하게 하는 복잡한 구조를 가지고 있습니다. 척추의 디스크는 척추체 사이에 존재하며, 이 디스크는 쿠션 역할을 하여 충격을 흡수하고 유연성을 제공합니다.
각 디스크는 수핵 (Nucleus pulposus)이라고 불리는 부드럽고 젤 같은 중심으로 구성되어 있으며, 그 주변에는 더 단단한 고리인 섬유륜(annulus fibrosus)가 있습니다. 허리 디스크는 수핵이 섬유륜이 손상된 지점이나 약해진 지점을 통해 돌출되거나 "탈출"될 때 발생합니다. 이 탈출된 물질은 근처의 척수 신경을 압박하여 통증, 무감각 및 기타 신경학적 증상을 유발할 수 있습니다.
2. 요추 추간판 탈출증의 원인은 무엇입니까?
원인을 이해하면 환자의 예방과 관리에 도움이 되는 경우가 많습니다. 허리 디스크는 다음과 같은 이유로 발생할 수 있습니다.
노화 관련 퇴행: 나이가 들면서 디스크는 자연스럽게 수분을 잃고 유연성이 떨어지게 되어 찢어지거나 파열되기 쉽습니다.
신체적 긴장: 특히 적절한 형태 없이 무거운 물건을 들어올리면 허리에 과도한 스트레스가 가해질 수 있습니다.
외상: 낙상, 사고 또는 갑작스러운 충격으로 인해 디스크가 파열될 수 있습니다.
유전적 소인: 일부 개인은 유전적으로 추간판 탈출증에 더 취약할 수 있습니다.
생활방식 요인: 비만, 앉아서 생활하는 생활방식, 흡연 등이 위험에 기여할 수 있습니다.
3. 요추 추간판 탈출증은 어떻게 진단하고 치료합니까?
진단에는 다음의 조합이 포함됩니다.
임상 평가: 통증의 성격, 무감각 부위, 근력 및 반사 신경에 초점을 맞춘 상세한 병력 및 신체 검사.
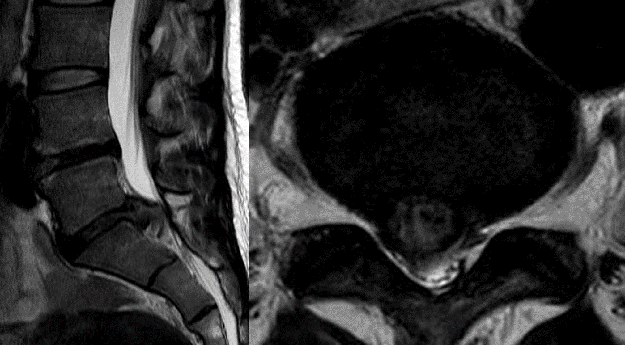
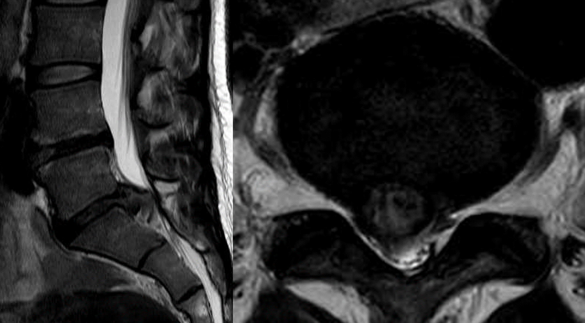
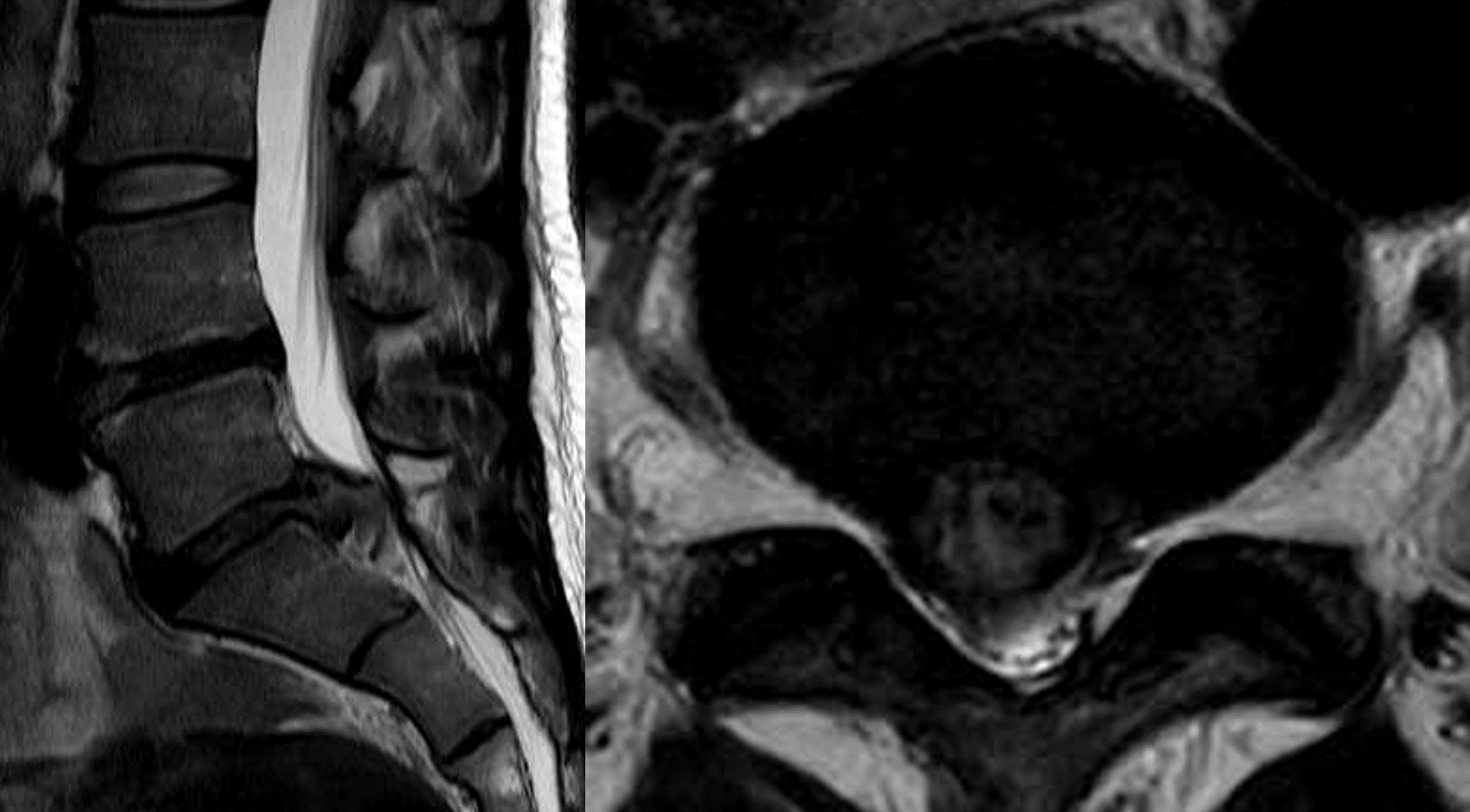
영상 검사: MRI(자기공명 영상)는 허리 디스크를 진단하기 위한 가장 중요한 검사입니다. X-ray 와 같은 단순 방사선 검사는 전방 전위증과 같은 추가적인 진단을 위해 필요할 때도 있습니다. CT (전산화 단층 촬영)의 경우 석회화 된 디스크를 감별하기 위해 촬영합니다.
치료는 증상의 중증도와 지속성에 따라 다릅니다.
보존적 치료: 대부분의 허리 디스크는 휴식, 진통제, 근육 이완제 및 물리 치료를 포함하여 보존적으로 치료됩니다.
경막외 주사 (신경차단술): 경구 약물로 완화되지 않는 통증의 경우 척추 신경 주위에 코르티코스테로이드 주사를 하면 완화될 수 있습니다.
수술적 치료: 심각하거나 지속되는 경우에는 수술이 필요할 수 있습니다. 일반적으로 미세 현미경 추간판 절제술 (디스크의 탈출된 부분 제거)과 요추 유합술 (두 개의 척추뼈를 함께 연결)이 포함됩니다. 최근에는 최소 침습 수술인 단방향 내시경 혹은 양방향 내시경 수술이 많이 시행되고 있습니다.
4. 회복을 돕고 재발을 예방할 수 있는 생활 방식 수정은 무엇입니까?
생활 방식은 허리 디스크의 회복 및 향후 재발 예방에 중요한 역할을 합니다. 다음은 몇 가지 지침입니다.
인체공학: 허리에 편안한 작업 환경을 보장합니다. 여기에는 적절한 요추 지지대가 있는 의자를 사용하고 앉은 후 정기적으로 휴식을 취하는 것이 포함됩니다.
운동: 코어 강화 운동을 잘 하는 것이 가장 중요합니다. 추가적으로 필라테스는 유연성과 근력을 향상시킬 수 있습니다.
자세: 척추 중립을 유지합니다. 특히 무거운 물건을 들어올릴 때는 자세에 주의하세요. 무릎을 구부리고 허리가 아닌 다리로 들어올립니다.
건강한 체중 유지: 특히 허리 부분의 과도한 체중은 허리에 부담을 줍니다. 균형 잡힌 식단과 규칙적인 운동이 도움이 될 수 있습니다.
담배를 피하십시오: 흡연은 척추로 가는 혈류를 감소시켜 디스크 퇴행을 촉진합니다.
5. 요추 추간판 탈출증의 장기 예후는 어떤가요?
허리 디스크의 예후는 일반적으로 좋은 편입니다. 다른 질환에 비해 회복이 좋은 편이고 관리만 잘한다면 재발 없이 잘 지내는 경우가 많습니다.
단기 회복: 대부분의 환자는 보존적 관리를 통해 몇 주에서 몇 달 내에 통증 및 기타 증상이 상당히 완화되는 것을 경험합니다.
장기 예후: 어떤 사람들은 허리 디스크를 다시 경험하지 못할 수도 있지만 다른 사람들은 재발할 수도 있습니다. 대략 10~20프로 정도 재발한다고 되어있으며, 언급된 생활 방식을 변화시키면 재발의 위험을 크게 줄일 수 있습니다.
수술: 수술은 수술 이후 높은 치료 성공률을 보입니다. 대부분 통증 완화를 경험하며, 재발의 위험성도 보존적 치료에 비해 높지 않습니다. 그러나 모든 수술과 마찬가지로 잠재적인 위험이 존재하므로 척추 전문의와 이에 대해 논의하는 것이 중요합니다.
결론
요추 추간판 탈출증은 누구에게나 발생할 수 있는 매우 흔한 질환입니다. 허리 디스크의 구조에 대해 먼저 잘 이해하고, 그 원인을 파악한다면 추후 재발하는 것을 예방할 수 있습니다. 대부분의 경우 보존적 치료로 호전되기에 정확한 원인 분석을 통해 재발만 예방한다면 허리디스크를 완벽하게 치료할 수 있습니다. 물론 간혹 수술적 치료를 하는 경우도 있지만 대부분의 경우 수술적 치료가 필요없기에 보존적 치료와 재발의 예방이 가장 중요하다고 할 수 있겠습니다.
'의학정보' 카테고리의 다른 글
| 허리 디스크의 초기 증상 및 초기 치료 (0) | 2023.10.31 |
|---|---|
| 허리 디스크 수술 후 궁금증 5가지 (0) | 2023.10.30 |
| 허리 디스크의 수술법: 요추 척추체간 유합술 (Lumbar interbody fusion)의 종류, 적응증, 장점, 및 한계 (0) | 2023.10.29 |
| 허리 디스크의 예방법: 위험인자, 예방전략 (0) | 2023.10.28 |
| 허리 디스크의 척추 시술: 신경 성형술의 방법, 적응증, 장점 및 한계 (0) | 2023.10.27 |